Skip to main content

It was a backbend this cheerleader didn't want any part of

April 25, 2017
Susan Brooks, surrounded by her brothers Archer, left, and Waddy, had scoliosis surgery before she started high school and is now back to cheerleading, swimming and all the other activities she loves. Photo provided

Fifteen-year-old Susan Brooks is back to cheerleading and playing volleyball thanks to an operation for a condition that could have caused serious long-term problems if left untreated. Her pediatrician in Hilton Head, South Carolina, was the first to spot it. "He said my back is curved where my spine was out of place."

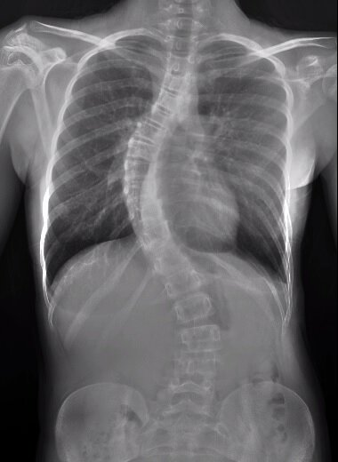
And not just a little out of place. "My curvature was 60 or more degrees," she said. X-rays showed her spine was curving into an "S" shape. 


Susan's spine before surgery

Susan's spine after surgery

Susan was referred to pediatric orthopedic surgeon Robert Murphy, who specializes in treating kids with spine problems at MUSC Children's Health. He and colleague Matthew Dow are the only pediatric fellowship-trained spine specialists in the area offering both operative and non-operative treatment of children's spine disorders. 

"Both Susan and her parents were concerned about the severity of her deformity and the potential long-term effects. Our first goal was to reassure them that we could safely and comprehensively treat her," Murphy said. 

Susan had adolescent idiopathic scoliosis, the most common type. Idiopathic means the cause is unknown. It develops in some children, more often girls than boys, as they hit a growth spurt during the transition from childhood to the teen years. Murphy said it affects about 3 percent of the population. 

If the scoliosis is mild, the doctor may just keep an eye on it, checking every few months to make sure it hasn't gotten worse. For larger curves, the next step up is a brace. If the curve is severe and a brace can’t slow the curve’s progression, the doctor may recommend surgery.

"Susan's type of case, ones that are operative, are rare. However, every year we do about 50 of these procedures," Dr. Murphy said.

The Scoliosis Surgery

Susan, a student at Hilton Head Preparatory School, had her scoliosis surgery the summer before eighth grade. "It wouldn't have been a good idea for me to do a brace because my curvature was too far along," she said. "I have an aunt who has the same thing I have, and she didn't have the surgery. Hers is very bad."

She and her parents met with Murphy and his team several times before the operation to talk about everything from the screws Murphy would use to how long recovery would take.

“Scoliosis can be scary,” Murphy said. “It can be a concerning thing due to the effect on a girl’s appearance or worries about limitations on activities. We're fortunate to have a multi-disciplinary team, composed of surgeons, nurses and physical therapists, who can help demystify this. We talk parents through it every step of the way.”

Susan would be in the hospital for four days. On the first day, she had the operation. Murphy described what he and his team did. "Susan's spine was twisted to the side, so we made an incision and put screws into the bone segments and used rods to contour the shape of her spine and bring it into corrected position. We then fused the spine so that the curve could not progress into her adult life."

Murphy was careful not to overdo the procedure. "We fuse as few levels as we can, because we want to make sure kids are still flexible and get back to the activities they love."

And safety was top of mind. A technologist monitored the health of Susan's spinal cord throughout the procedure. "That's the standard of care we use on any spine case at MUSC," Murphy said. "We always have intra-operative neuromonitoring to make sure things are done as safely as possible."

Recovery from Scoliosis Surgery

Afterward, while Susan recovered, doctors gave her medication to make sure she wasn't uncomfortable and got her up and moving as quickly as possible. "She was on her feet the next day," Murphy said.

Susan doesn't remember much of her time in the hospital, but she does remember the two weeks afterward. "I had to stay at my house and basically not do anything."

But Susan said there was an upside, in addition to knowing that her spine was straightened. "What bad comes, good comes after. I had to get this surgery, but then after it, everyone brought me cupcakes and gifts."

By the time school started, she was getting back to normal. She had to be careful for a while longer, but today she's pain-free and happy she had the surgery. "Think of it as a good thing you're getting this," she advised other people facing surgery for scoliosis.

”The wonderful thing about treating children is that they are motivated to recover quickly and get back to their favorite activities," Murphy said. "We get kids back to being kids."

Meet the Author
Helen Adams OCM Staff

Helen Adams

Recent Children's Health stories